Servicio único.
Blanqueamiento Dental Laser
Blanqueamiento Dental Láser en VillaSmile: Resultados Incomparables en Una Sola Sesión
¿Por qué elegir el Blanqueamiento Dental Láser en VillaSmile?
En VillaSmile, sabemos que una sonrisa brillante mejora tu apariencia y confianza. Utilizamos la más avanzada tecnología en blanqueamiento dental láser, diseñada para ofrecerte resultados rápidos y eficaces en una sola sesión.
¿Cómo Funciona el Blanqueamiento Dental Láser?
- Evaluación inicial: El especialista evalúa la tonalidad de tus dientes y el estado del esmalte dental.
- Protección de encías: Se aplica una barrera protectora para asegurar la seguridad del procedimiento.
- Aplicación del gel blanqueador: Un gel especializado elimina manchas profundas de alimentos, bebidas, tabaco y el paso del tiempo.
- Activación con láser de última tecnología: El gel se activa mediante un láser dental de triple longitud de onda, acelerando el proceso y garantizando resultados impresionantes.
- Control y ajuste: Durante la sesión, el equipo monitorea los resultados para asegurar una blancura uniforme.
Resultados Rápidos y Efectivos
En una sola sesión, puedes lograr hasta 7 tonos más claros. Este tratamiento es ideal para quienes buscan resultados visibles rápidamente, ya sea para una ocasión especial o para mejorar la apariencia diaria.

Beneficios del Blanqueamiento Dental Láser en VillaSmile
- Eficacia superior: A diferencia de otros sistemas de luz, nuestro láser está optimizado para trabajar con el gel blanqueador, logrando resultados más rápidos y efectivos.
- Protección del esmalte dental: El gel avanzado y el control profesional garantizan que el esmalte no se dañe.
- Menor sensibilidad: El tratamiento está diseñado para reducir al mínimo las molestias asociadas al blanqueamiento dental.
¿Qué Esperar Después del Tratamiento?
Después de tu sesión de blanqueamiento, recibirás recomendaciones personalizadas para mantener los resultados, como evitar ciertos alimentos y bebidas que puedan manchar tus dientes, además de seguir una buena higiene oral.
Reserva tu Cita en VillaSmile
Disfruta de los mejores resultados en blanqueamiento dental en Costa Rica. Con nuestra tecnología láser de última generación y un equipo de expertos, te garantizamos un tratamiento seguro, cómodo y con resultados espectaculares.
¡Reserva tu cita hoy mismo y transforma tu sonrisa con VillaSmile!
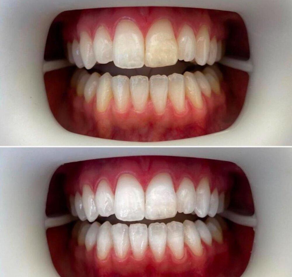
Ejemplos de Nuestro Trabajo: Blanqueamiento Dental
Casos Reales de Éxito Blanqueamiento Dental en Villa Smile
Casos Reales de Éxito Blanqueamiento Dental en Villa Smile
Casos Reales de Éxito Blanqueamiento Dental en Villa Smile
Casos Reales de Éxito Blanqueamiento Dental en Villa Smile
Casos Reales de Éxito Blanqueamiento Dental en Villa Smile
Nuestros mejores especialistas










Planes de Ortodoncia
Más que sonrisas, cuidamos tu bienestar integral
Mensualidad: ₡25.000 mil colones
– Mensualidad ₡25,000 mil colones
– Sin prima
– Colocación superior ₡ 40,000 mil colones
– Inferior ₡ 40,000 mil colones
– Se necesita estudio radiográfico
Brackets Metálicos
Características
– Son los brackets más comunes, de acero.
– Mueven los dientes con ayuda de arcos y ligas.
– Pros: Eficaces, resistentes, económicos.
– Contras: Son muy visibles.
Prima: ₡350.000 Mensualidad: ₡35.000
Prima: ₡400.000 Mensualidad: ₡35.000
Prima: ₡300.000 Mensualidad: ₡35.000
- Se puede fraccionar el pago de la prima en dos pagos.
- Este tipo de bracket no utiliza módulos (Ligas de colores).
El paciente debe asistir con el paquete de ortodoncia ya realizado previamente.
Mensualidad ₡30,000 mil
Brackets Autoligados
Características
– No usan ligas, tienen un sistema de cierre propio.
– Movimiento dental más rápido y cómodo.
– Pros: Menos visitas al dentista, más higiénicos.
– Contras: Más caros que los metálicos.
Costo total: $ 1800 dolares
- Tratamiento completo inicial en $ 1800 dólares
– $ 150 dólares mensuales - Prima: $ 800 dólares
- Duración de 6 a 8 meses
Alineadores Invisibles
Caracteristicas
– Placas transparentes removibles (tipo Invisalign).
– Se cambian cada 1-2 semanas para alinear los dientes.
– Pros: Estéticos, cómodos, removibles.
– Contras: Requieren disciplina, no sirven para todos los casos.
₡ 300.000 mil de prima
Mensualidad ₡ 35,000 mil
Características
– Son transparentes, hechos de cristal de zafiro.
– Funcionan igual que los metálicos.
– Pros: Estéticos, casi invisibles.
– Contras: Más frágiles y caros.
Edad mínima: A partir de los 6 años
Prima única: ₡ 70,000
Cuota mensual: ₡ 25,000
Ortodoncia en Niños
Características
– Se usa para guiar el desarrollo dental y óseo.
– Puede incluir aparatos removibles o brackets.
– Pros: Corrige problemas a tiempo.
– Contras: Depende del cuidado y compromiso del niño.